Argentina reportó tres muertes por una neumonía bilateral de origen desconocido en un sanatoria de la provincia de Tucumán y se investiga si se trata de la paciente cero del brote, hasta ahora circunscrito a la clínica, informaron autoridades sanitarias del país.
El pasado martes 30 de agosto, la Organización Panamericana de la Salud (OPS) reconoció la existencia de seis casos de neumonía sin identificación etiológicaen el noroeste de Argentina; sin embargo, un día después, las autoridades del país reconocieron la existencia de tres contagios más, dando un total de nueve casos con corte al 2 de septiembre.
¿Se conoce el origen de la neumonía detectada en Argentina?
El ministro de Salud provincial, Luis Medina Ruiz, informó que “hasta ahora no hemos encontrado nada que permita saber cuál fue la causa del brote y por lo tanto, al tratarse de una enfermedad que no sabemos en qué consiste, no sabemos bien la evolución”.
Entre los contagiados el ministerio de Salud descartó COVID-19, gripe e influenza como causas. El jueves 1 de septiembre, el ministro también desestimó que el origen pueda ser el hantavirus o la legionella. “Estamos estudiando el origen del foco y el nexo epidemiológico, seguimos en proceso de investigación”, refirió.
Se investiga si los contagios de neumonía de origen desconocido pudieron darse a través de los caños de agua o en los ductos del aire acondicionado del sanatorio en el que se han presentado todos los casos.
¿Cuáles son los síntomas de esta neumonía de origen desconocido?
Según reportó Medina Ruiz, la mayoría de los pacientes de neumonía empezó con los siguientes signos:
- Vómitos
- Fiebre alta
- Diarrea
- Dolor del cuerpo
De acuerdo con el funcionario, los primeros seis infectados habían comenzado con síntomas entre el 18 y el 22 de agosto. Además, aseguró que algunos de los pacientes tuvieron una evolución más compleja que otros. De este primer grupo de contagiados, dos permanecen internados y uno bajo aislamiento domiciliario, indicaron autoridades.
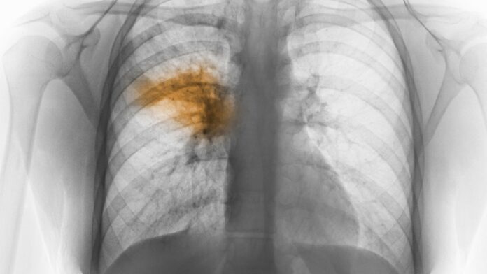
“Lo que tienen en común estos pacientes es el cuadro respiratorio severo con neumonía bilateral y compromiso en imágenes muy parecidas al COVID-19, pero eso está descartado”
Dr. Luis Medina Ruiz
Lo que se sabe de los casos por esta enfermedad
La OPS precisó a finales de agosto que los casos registrados de neumonía bilateral corresponden a cinco trabajadores de la salud y una paciente internada en el servicio de terapia intensiva de un sanatorio privado de la ciudad de San Miguel de Tucumán. Todos los casos se encuentran relacionados con el mismo centro de atención en salud.
El 1 de septiembre de 2022, el Ministerio de Salud Pública de Tucumán informó sobre la identificación de 3 pacientes adicionales, todos trabajadores de salud, que entre el 20 y el 23 de agosto presentaron síntomas similares a los 6 casos anteriormente notificados.
“Es un brote, en un lugar determinado, con una causa específica y una cierta cantidad de personas. Hasta el momento está en investigación todo sobre la patología que pueda ser”, señaló el Dr. Medina Ruiz. También se informa que esta enfermedad es de fácil transmisión al interior del centro médico.
¿Cuántas muertes se han presentado por la neumonía bilateral?
Con corte al 1 de septiembre, se reportó la muerte de tres de los nueve pacientes diagnosticados con esta neumonía bilateral de origen desconocido. La OPS hizo énfasis en que los pacientes fallecidos tenían algún tipo de comorbilidad, de acuerdo con las investigaciones preliminares.
La tercera fallecida era la única entre los contagiados que no pertenecía al personal de salud de la clínica privada de San Miguel de Tucumán, donde se reportaron los casos y que ha sido aislado por precaución.
“No está muy claro cuál fue el inicio porque todo ronda el 20 de agosto. Nosotros entendemos que es la paciente cero en un principio, pero eso está en estudio”
Dr. Luis Medina Ruiz
El ministro refirió que la mujer fallecida “había sido intervenida quirúrgicamente por un problema de vesícula y reintervenida dos veces. A partir de allí tuvo un cuadro de infección pulmonar que coincide con la fecha de aparición (de síntomas) de los otros pacientes”.

